ایمپلنت دندان چیست؟
ایمپلنت دندان یک پایه فلزی مستحکم است که به عنوان ریشه مصنوعی دندان در استخوان فک قرار میگیرد و معمولاً از فلزاتی مقاوم مانند تیتانیوم خالص یا آلیاژهای مخصوص ساخته میشود. این فلز به دلیل سازگاری بالا با بافتهای بدن (بیوکامپتیبیلیتی)، به راحتی با استخوان فک جوش میخورد و پایهای پایدار برای نصب دندان مصنوعی ایجاد میکند.
ایمپلنت دندانی به طور کلی از سه بخش اصلی تشکیل میشود:
- پایه یا فیکسچر – بخش اصلی و دائمی ایمپلنت که درون استخوان فک قرار میگیرد و نقش ریشه دندان را ایفا میکند.
- اباتمنت یا قطعه اتصالی – بخش میانی که مانند یک پل، پایه ایمپلنت را به تاج دندان متصل میکند.
- تاج دندان – بخش قابل مشاهده و زیبایی ایمپلنت که معمولاً از مواد باکیفیت سرامیکی یا رزینی ساخته شده و از نظر ظاهر و عملکرد شبیه دندان طبیعی است.
به دلیل ماندگاری طولانیمدت، استحکام بالا و شباهت ظاهری به دندان طبیعی، ایمپلنت به عنوان یکی از بهترین روشهای جایگزینی دندان از دسترفته شناخته میشود.
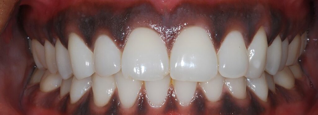
سیاه شدن لثه بعد از ایمپلنت نشانه چیست؟
سیاه شدن لثه بعد از ایمپلنت میتواند دلایل مختلفی داشته باشد؛ گاهی این تغییر رنگ یک واکنش طبیعی بدن به روند جراحی است و گاهی هشداری برای وجود مشکلات جدیتر در بافت لثه یا محل ایمپلنت. در مراحل اولیه پس از جراحی، مشاهده لثههای بنفش یا تیره معمولاً ناشی از تشکیل هماتوم است. هماتوم زمانی ایجاد میشود که به علت فشار یا آسیب جراحی، رگهای خونی کوچک دچار پارگی شده و خون در زیر بافت لثه جمع میشود. این فرآیند باعث تغییر رنگ لثه به بنفش، قهوهای یا حتی سیاه میگردد و معمولاً پس از چند روز تا چند هفته با ترمیم بافتها برطرف میشود.
با این حال، اگر سیاه شدن لثه به همراه علائمی مانند درد تیز و مداوم، تورم شدید، ترشح چرک، خونریزی غیرطبیعی یا بوی بد دهان باشد، ممکن است نشاندهنده مشکلات جدیتر باشد، از جمله:
- التهاب یا پریایمپلنتیت: عفونت یا التهاب اطراف ایمپلنت که در صورت پیشرفت میتواند باعث تخریب بافت استخوانی و از دست رفتن ایمپلنت شود.
- عفونتهای باکتریایی یا ویروسی: ورود میکروبها به محل جراحی، ضعف سیستم ایمنی یا عدم رعایت بهداشت دهان پس از عمل میتواند عامل ایجاد این عفونتها باشد.
- قرارگیری نادرست ایمپلنت: نصب ایمپلنت در زاویه یا عمق نامناسب میتواند باعث فشار بیش از حد روی لثه، اختلال در خونرسانی و ایجاد تغییر رنگ شود.
- تأثیر دخانیات: مصرف سیگار و تنباکو جریان خون لثه را کاهش میدهد و علاوه بر تیره شدن لثه، باعث افزایش خطر عفونت میشود.
- کمبود مواد مغذی: کمبود ویتامین C و سایر مواد حیاتی برای ترمیم بافت میتواند باعث تغییر رنگ و ضعف لثه شود.
- عوامل ژنتیکی: برخی افراد بهصورت طبیعی رنگدانههای بیشتری در لثه دارند که بعد از جراحی بیشتر نمایان میشود.
به طور خلاصه، سیاه شدن لثه بعد از ایمپلنت اگر با درد و علائم دیگر همراه نباشد، میتواند بخشی از روند طبیعی ترمیم باشد؛ ولی در صورت ماندگاری یا شدت گرفتن علائم، مراجعه سریع به دندانپزشک الزامی است تا از آسیبهای جدی و کاهش عمر ایمپلنت جلوگیری شود.
بیشتر بخوانید:
سخت ترین مرحله ایمپلنت دندان چیست؟

علت سیاهشدن لثه بعد از ایمپلنت دندان چیست؟
سیاهشدن یا تیرهشدن لثه بعد از ایمپلنت دندان یکی از عوارضی است که میتواند هم زیبایی لبخند و هم سلامت ایمپلنت را تحت تأثیر قرار دهد. این مشکل ممکن است موقتی و بیخطر باشد یا نشانهای از یک عارضه جدیتر مانند عفونت یا عدم موفقیت ایمپلنت.
در جدول زیر، تمام دلایل مهم سیاهشدن لثه بعد از ایمپلنت بهصورت دقیق، کاربردی و سئو شده بررسی شده است:
| علت سیاهشدن لثه | توضیح تخصصی و کامل | میزان خطر | راهکار و درمان |
|---|---|---|---|
| عفونت لثه (پریایمپلنتیت) | عفونت اطراف ایمپلنت باعث التهاب مزمن، تخریب بافت لثه و تغییر رنگ آن به قهوهای تیره یا سیاه میشود. این عارضه معمولاً در اثر رعایت نکردن بهداشت دهان، تجمع پلاک میکروبی یا سیگار کشیدن ایجاد میشود. | بالا | جرمگیری تخصصی، آنتیبیوتیک، درمان پریایمپلنتیت و در موارد پیشرفته خارجکردن ایمپلنت |
| ضعف یا تحلیل استخوان فک | در صورت کافی نبودن تراکم استخوان، پایه ایمپلنت بهدرستی جوش نمیخورد و بافت لثه بهمرور تحلیل رفته و تیره میشود. این مشکل در افراد مسن یا دارای پوکی استخوان شایعتر است. | متوسط تا بالا | پیوند استخوان، بازسازی فک و بررسی دقیق CBCT قبل از ایمپلنت |
| کاشت نادرست ایمپلنت | زاویه نامناسب یا عمق اشتباه قرارگیری ایمپلنت باعث فشار غیرطبیعی به لثه و تغییر رنگ تدریجی آن میشود. این مورد معمولاً ناشی از تجربه ناکافی پزشک است. | بالا | اصلاح جراحی، تعویض ایمپلنت یا درمان ترمیمی توسط متخصص ایمپلنت |
| هماتوم (تجمع خون زیر لثه) | خونریزی بعد از جراحی میتواند باعث ایجاد هماتوم شود که رنگ لثه را به بنفش، بادمجانی یا سیاه تغییر میدهد. معمولاً موقتی است اما در برخی موارد نیاز به بررسی دارد. | کم تا متوسط | کمپرس سرد، پیگیری پزشک و تخلیه هماتوم در صورت لزوم |
| نازک بودن بیولوژیک لثه | در افرادی با لثه نازک، رنگ فلز ایمپلنت (تیتانیوم) از زیر لثه دیده میشود و باعث تیرگی یا خاکستریشدن لثه میگردد. | متوسط | پیوند لثه، استفاده از اباتمنت زیرکونیا |
| استفاده از روکش یا اباتمنت فلزی | روکشهای فلزی یا اباتمنتهای تیتانیومی در ناحیه جلویی دهان، مخصوصاً با لثه نازک، باعث نمایان شدن رنگ تیره میشوند. | متوسط | جایگزینی با روکش تمام سرامیک یا زیرکونیا |
| واکنش لثه به فلز ایمپلنت | در موارد نادر، بدن ممکن است به آلیاژ ایمپلنت واکنش نشان دهد که باعث التهاب و تغییر رنگ لثه میشود. کیفیت پایین ایمپلنت میتواند این ریسک را افزایش دهد. | متوسط | تعویض ایمپلنت با برند معتبر و مواد زیستسازگار |
| سیگار و دخانیات | نیکوتین باعث کاهش خونرسانی به لثه و تیرهشدن تدریجی رنگ آن میشود و احتمال عفونت ایمپلنت را نیز بالا میبرد. | بالا | قطع یا کاهش مصرف سیگار قبل و بعد از ایمپلنت |
| بیماریهای سیستمیک (دیابت، آرتریت روماتوئید) | این بیماریها روند ترمیم لثه را مختل کرده و احتمال التهاب و تغییر رنگ لثه را افزایش میدهند. | متوسط تا بالا | کنترل بیماری زمینهای و هماهنگی با پزشک معالج |
ایمپلنت دندان در اصفهان با بررسی تخصصی
اگر بعد از بررسیها به شما گفته شده که کاندید مناسبی برای ایمپلنت دندان نیستید، این موضوع لزوماً به معنای نداشتن راه درمان نیست. دکتر میلاد اعتمادی، جراح فک و صورت در اصفهان، با ارزیابی دقیق وضعیت استخوان فک، لثه و شرایط عمومی بدن، مناسب ترین روش درمان را برای هر فرد پیشنهاد میدهد.
هدف، انتخاب درمانی آگاهانه و اصولی است که احتمال بروز عوارض را به حداقل رسانده و نتیجهای ماندگار و قابل اعتماد ایجاد کند.
پیشگیری از سیاه شدن لثه بعد از ایمپلنت
سیاه شدن لثه بعد از ایمپلنت علاوه بر تأثیر بر زیبایی لبخند، میتواند باعث کاهش اعتمادبهنفس فرد شود. خوشبختانه با رعایت چند نکته ساده و انتخاب صحیح پزشک، میتوان خطر بروز این مشکل را به حداقل رساند. در ادامه مهمترین روشهای پیشگیری از سیاه شدن لثه پس از کاشت دندان را بررسی میکنیم.
انتخاب متخصص و باتجربه
اولین و مهمترین گام برای پیشگیری از تغییر رنگ لثه، انتخاب یک متخصص حرفهای و باتجربه است. کاشت دندان فرآیندی دقیق و حساس است که نیاز به تخصص بالا و استفاده از متریال باکیفیت دارد. پایه فلزی ایمپلنت باید از جنس تیتانیوم یا آلیاژهای سازگار با بدن ساخته شود تا با بافت لثه و استخوان فک به خوبی جوش بخورد و باعث تغییر رنگ نشود.
اگر ساکن اصفهان یا شهرهای اطراف هستید، دکتر میلاد اعتمادی با سالها سابقه موفق در زمینه ایمپلنت دندان و بهرهگیری از تجهیزات مدرن، یکی از بهترین انتخابها برای تجربه یک کاشت ایمن، دقیق و بدون عوارض جانبی است. استفاده از برندهای معتبر ایمپلنت و رعایت کامل اصول جراحی، از ویژگیهای اصلی خدمات ایشان است.
رعایت کامل بهداشت دهان و دندان
پس از انجام ایمپلنت، رعایت بهداشت دهان اهمیت دوچندان پیدا میکند. مسواک زدن با خمیردندان حاوی فلوراید، استفاده روزانه از نخ دندان مخصوص ایمپلنت و دهانشویههای ضدباکتری، میتواند از تجمع پلاک و رشد باکتری در اطراف ایمپلنت جلوگیری کند.
دندانهای کاشتهشده نسبت به دندانهای طبیعی حساستر هستند، بنابراین توجه به رژیم غذایی نیز مهم است. مصرف بسیار داغ یا بسیار سرد غذاها میتواند به پایه فلزی آسیب بزند و در طول زمان باعث تغییر رنگ لثه شود.
مراجعه منظم به پزشک برای معاینات دورهای
حتی در صورت رعایت کامل بهداشت، لازم است هر 6 ماه یکبار برای بررسی وضعیت ایمپلنت به دندانپزشک مراجعه کنید. این معاینات به تشخیص زودهنگام التهاب یا عفونت کمک میکند و از بروز مشکلاتی مانند سیاه شدن لثه پیشگیری خواهد کرد.
برای درخواست ایمپلنت دندان در اصفهان می توانید با شماره ۰۹۳۳۹۱۳۳۷۳۷ تماس حاصل فرمایید.
مراقبتهای ضروری پس از جراحی ایمپلنت برای جلوگیری از سیاه شدن لثه
| اقدام مراقبتی | توضیح تخصصی و کاربردی | مزیت برای لثه و ایمپلنت |
|---|---|---|
| مسواکزدن با مسواک نرم | استفاده از مسواک نرم با حرکات ملایم و دایرهای روی ناحیه ایمپلنت، بدون وارد کردن فشار، به پاکسازی پلاکهای میکروبی کمک میکند. | کاهش تجمع باکتریها، پیشگیری از التهاب و تغییر رنگ لثه |
| نخ دندان مخصوص ایمپلنت | نخ دندانهای ویژه ایمپلنت یا سوپرفلاس، فضای بین ایمپلنت و دندانهای مجاور را تمیز کرده و مانع باقیماندن مواد غذایی میشوند. | جلوگیری از پریایمپلنتیت و حفظ رنگ طبیعی لثه |
| استفاده از دهانشویه ضدعفونیکننده | دهانشویههای تجویزی حاوی کلرهگزیدین یا ترکیبات آنتیباکتریال، باید طبق دستور دندانپزشک و برای مدت محدود استفاده شوند. | کاهش خطر عفونت، تسریع ترمیم بافت لثه |
| پیشگیری و کنترل عفونت لثه | مشاهده علائمی مانند تورم، خونریزی غیرعادی، درد مداوم یا بوی بد دهان نیازمند مراجعه فوری به دندانپزشک است. | جلوگیری از سیاهشدن لثه ناشی از عفونت و تحلیل استخوان |
| ترک سیگار و دخانیات | نیکوتین باعث کاهش خونرسانی به لثه و اختلال در ترمیم بافت میشود و احتمال تغییر رنگ لثه را افزایش میدهد. | بهبود خونرسانی، کاهش خطر عفونت و افزایش ماندگاری ایمپلنت |
| معاینات منظم دندانپزشکی | مراجعه دورهای برای بررسی وضعیت ایمپلنت و انجام جرمگیری حرفهای، نقش کلیدی در پیشگیری از مشکلات لثه دارد. | تشخیص زودهنگام مشکلات، جلوگیری از تیره شدن لثه و افزایش طول عمر ایمپلنت |
رعایت مراقبتهای پس از جراحی ایمپلنت، مهمترین عامل در حفظ سلامت و رنگ طبیعی لثه است. بیتوجهی به بهداشت دهان، مصرف دخانیات و عدم مراجعه منظم به دندانپزشک میتواند باعث عفونت و تغییر رنگ لثه اطراف ایمپلنت شود. در صورت مشاهده هرگونه تغییر رنگ یا التهاب، مراجعه زودهنگام به متخصص ایمپلنت از بروز عوارض جدی جلوگیری میکند.

روشهای درمانی برای رفع سیاهی لثه
سیاه شدن لثه پس از ایمپلنت همیشه دائمی نیست و بسته به علت، میتوان آن را با روشهای درمانی مختلف برطرف یا بهبود بخشید. مهمترین روشهای درمان عبارتاند از:
ترمیم و پیوند بافت لثه
در مواردی که سیاهی لثه ناشی از نازک بودن بافت یا نمایان شدن فلز پایه ایمپلنت باشد، دندانپزشک میتواند با استفاده از پیوند لثه یا جراحی ترمیمی، بافت جدید و سالم را به محل اضافه کند. این روش علاوه بر رفع مشکل تغییر رنگ، باعث افزایش استحکام و محافظت بهتر از ایمپلنت نیز میشود.
لیزر درمانی
لیزر دندانپزشکی یکی از راهکارهای مؤثر برای از بین بردن تغییر رنگ لثه است. این تکنیک بدون نیاز به جراحی گسترده، بافتهای تیره یا آسیبدیده را حذف میکند و رنگ لثه را به حالت طبیعی بازمیگرداند. همچنین لیزر با تحریک گردش خون، روند ترمیم بافت لثه را تسریع میکند.
درمان پریایمپلنتیت
اگر علت سیاهی لثه، التهاب یا عفونت اطراف ایمپلنت (پریایمپلنتیت) باشد، باید ابتدا عفونت برطرف شود. این روند شامل تمیز کردن عمقی محل ایمپلنت، ضدعفونی با مواد مخصوص، تجویز آنتیبیوتیک و در صورت لزوم، جراحی برای حذف بافت عفونی است. درمان سریع پریایمپلنتیت از گسترش عفونت و آسیب به استخوان فک جلوگیری میکند.
بیشتر بخوانید:

خلاصه مقاله
سیاه شدن لثه بعد از ایمپلنت یکی از عارضههای رایج پس از کاشت دندان است که میتواند به دلیل هماتوم، التهاب (پریایمپلنتیت)، عفونتهای باکتریایی یا ویروسی، مصرف دخانیات، عوامل ژنتیکی، کمبود مواد مغذی یا حتی قرارگیری نادرست ایمپلنت ایجاد شود. این تغییر رنگ ممکن است موقتی و ناشی از روند ترمیم طبیعی بافت باشد، اما در صورتی که با درد، تورم، ترشح چرک یا بوی بد همراه باشد، نیاز به بررسی فوری توسط دندانپزشک دارد.
برای پیشگیری، انتخاب یک دندانپزشک باتجربه، رعایت کامل بهداشت دهان و دندان، و انجام معاینات دورهای ضروری است. در اصفهان، دکتر میلاد اعتمادی با استفاده از متریال باکیفیت و روشهای جراحی دقیق، از بروز چنین مشکلاتی جلوگیری میکند. روشهای درمانی شامل پیوند لثه، لیزر درمانی و درمان پریایمپلنتیت است که بسته به علت مشکل، توسط دندانپزشک انتخاب میشود. تشخیص و اقدام بهموقع میتواند علاوه بر رفع سیاهی لثه، طول عمر ایمپلنت را نیز افزایش دهد.
بیشتر بخوانید:
سؤالات متداول
آیا سیاه شدن لثه بعد از ایمپلنت نشانه یک مشکل جدی است؟
در برخی موارد، سیاه یا تیره شدن لثه پس از ایمپلنت میتواند نشانه وجود یک مشکل جدیتر باشد، اما همیشه به معنای خطر فوری نیست. این تغییر رنگ ممکن است به دلایلی مانند التهاب لثه، عفونت اطراف ایمپلنت (پریایمپلنتیت)، نازک بودن بافت لثه یا نمایان شدن رنگ فلز ایمپلنت ایجاد شود. در صورتی که تیرگی لثه با علائمی مانند درد، خونریزی، بوی بد دهان یا لق شدن ایمپلنت همراه باشد، لازم است حتماً توسط متخصص ایمپلنت بررسی شود.
پریایمپلنتیت چیست و چگونه باعث سیاه شدن لثه میشود؟
پریایمپلنتیت نوعی عفونت در بافت اطراف ایمپلنت است که معمولاً به دلیل تجمع پلاک میکروبی و رعایت نکردن بهداشت دهان ایجاد میشود. این عفونت باعث التهاب، تورم و تغییر رنگ لثه به سمت تیرگی یا بنفش میشود. در صورت عدم درمان بهموقع، پریایمپلنتیت میتواند منجر به تحلیل لثه و استخوان فک و در نهایت از دست رفتن ایمپلنت شود؛ به همین دلیل تشخیص زودهنگام اهمیت زیادی دارد.
آیا سیاه شدن لثه میتواند نشانه پسزدگی ایمپلنت باشد؟
بله، در موارد نادر، پسزدگی ایمپلنت میتواند با تغییر رنگ لثه همراه باشد. در این حالت، بدن به ایمپلنت واکنش نشان میدهد و علائمی مانند درد مداوم، خونریزی، التهاب شدید و افزایش حرکت ایمپلنت ظاهر میشود. توجه داشته باشید که سیاه شدن لثه بهتنهایی به معنای پسزدگی نیست، اما اگر همراه با این علائم باشد، نیاز به بررسی فوری توسط متخصص دارد.
چه زمانی برای سیاه شدن لثه بعد از ایمپلنت باید به متخصص مراجعه کنیم؟
در شرایط زیر مراجعه به متخصص ایمپلنت ضروری است:
- تداوم تیرگی لثه بیش از چند هفته
- همراهی تغییر رنگ با درد، تورم یا خونریزی
- احساس بوی بد یا طعم ناخوشایند در دهان
- لق شدن یا حساسیت غیرطبیعی ایمپلنت
بررسی بهموقع میتواند از پیشرفت عفونت و بروز عوارض جدی جلوگیری کند.
تفاوت سیاه شدن لثه در ایمپلنت فوری و ایمپلنت معمولی چیست؟
در ایمپلنتهای فوری که بلافاصله پس از کشیدن دندان انجام میشوند، به دلیل فشار بیشتر روی لثه و نازک بودن بافت نرم، احتمال تغییر رنگ لثه در مراحل اولیه کمی بیشتر است. این تغییر رنگ در بسیاری از موارد موقتی است.
در مقابل، ایمپلنتهای معمولی که با فاصله زمانی و ترمیم تدریجی لثه انجام میشوند، معمولاً کمتر دچار تیرگی لثه میشوند؛ مگر اینکه عفونت یا مشکلات بهداشتی وجود داشته باشد.
رعایت نکردن بهداشت دهان چه تأثیری بر سیاه شدن لثه بعد از ایمپلنت دارد؟
عدم رعایت بهداشت دهان و دندان یکی از مهمترین عوامل تغییر رنگ لثه بعد از ایمپلنت است. تجمع باکتریها و پلاک در اطراف ایمپلنت میتواند باعث التهاب لثه و در نهایت تیرگی یا سیاه شدن آن شود. استفاده نکردن از نخ دندان مخصوص ایمپلنت، مسواک بیندندانی و دهانشویه مناسب خطر بروز عفونت و تغییر رنگ لثه را بهطور قابلتوجهی افزایش میدهد.
چگونه میتوان با مراقبتهای بعد از ایمپلنت از سیاه شدن لثه جلوگیری کرد؟
برای پیشگیری از سیاه شدن لثه بعد از ایمپلنت، رعایت این نکات ضروری است:
- استفاده منظم از مسواک نرم و نخ دندان مخصوص ایمپلنت
- مصرف دهانشویههای توصیهشده توسط دندانپزشک
- پرهیز از سیگار و دخانیات
- مراجعه منظم برای چکاپ و معاینه ایمپلنت
این مراقبتها به حفظ سلامت لثه، جلوگیری از عفونت و افزایش طول عمر ایمپلنت کمک میکند.


